Masai
Geschlecht: Rüde
Alter: Erwachsen
(2 Jahre, 11 Monate)
Schulterhöhe: M (46-55cm)
Aufenthaltsort: -

Masai
Geschlecht: Rüde
Alter: Erwachsen
(2 Jahre, 11 Monate)
Schulterhöhe: M (46-55cm)
Aufenthaltsort: -
<<< Masai durfte Anfang Oktober auf seine Pflegestelle in Bayern ausreisen. >>>
Wir werden in Kürze über Masais Entwicklung auf seiner Pflegestelle berichten und auch aktuelle Fotos hier einstellen.
Möchten Sie MASAI kennenlernen und ihm eventuell einen Platz als Familienmitglied auf einer Endstelle anbieten, dann melden Sie sich bitte bei: kontakt@sardinienhunde.org.
MASAI BRAUCHT IHRE HILFE!
Unser kleiner MASAI sucht auf diesem Weg ganz DRINGEND Paten. Er hat großes Glück, da er Ende August 2023 auf eine bayerische Pflegestelle reisen darf. Sein Pflegefrauchen ist Tierärztin und Mehrhundehalterin und sie hat bereits einigen sardischen Fellnasen ein schönes Zuhause oder einen Pflegeplatz geboten. Besser könnte er also nicht aufgehoben sein.
Auch wenn MASAI heftige Diagnosen beschert wurden und die finanziellen Folgen für den Verein noch nicht absehbar sind, so versuchen wir alles, um mit vereinten Kräften diesem kleinen Wesen ein lebenswertes und so schmerzfreies Hundeleben wie nur möglich zu bereiten.
MASAI leidet an Neosporose und Toxoplasmose. Die Neosporose ist bei Junghunden gekennzeichnet durch eine progressive, aszendierende Paralyse und Parese der hinteren Extremitäten (neuromuskuläres Syndrom). In Deutschland werden weitere Untersuchungen und Behandlungen nötig sein und wir hoffen inständig, dass wir ihm dauerhaft helfen können.
Dieser nette kleine Kerl hat es so sehr verdient! Schließlich hat er sein ganzes Leben noch vor sich.
Wenn Sie sich für eine Patenschaft für Masai entscheiden, werden Sie selbstverständlich regelmäßig informiert und können so an seinem Leben teilhaben. Schreiben Sie uns gerne unter patenschaften@SardinienHunde.org.
Auch eine Spende über unser Bankkonto unter dem Stichwort "Hilfe für Masai" hilft uns weiter.
Spendenkonto SARDINIENHUNDE e.V.
Sparkasse Regensburg
IBAN: DE90 7505 0000 0026 7036 45
BIC: BYLADEM1RBG



Mai 2023

Juli 2023
Masais Geschichte auf Sardinien:
MINO, MASAI & MARIA - 3 Maremmanos auf Abwegen Uns erreichte der Anruf von Touristen, die abseits der Zivilisation 3 kleine Maremmanos gefunden hatten. Soweit waren sie ok, einer von ihnen schien etwas am Bein zu haben. Mit aktiver Unterstützung der Retter konnten wir es organisieren, dass die 3 im rifugio der LIDA in Olbia aufgenommen werden konnten. Wie immer wurden die Prophylaxen sofort gestartet, Parasiten waren bei der Aufnahme nicht zu knapp mit an Bord.
Die erste Untersuchung des Beinchens von Mino ergab, dass es sich um einen „alten“ Bruch handelte, der sich aber bereits konsolidiert hat. Hier sind keine weiteren Maßnahmen notwendig und keine signifikanten Beeinträchtigung zu erwarten. Da es sich offensichtlich um Maremmano Mischlinge handelt, wünschen wir uns Familien mit Haus und Garten. Für eine reine Wohnungshaltung sind diese Hunde nicht geeignet.
Wer sich einmal in das Wesen eines Maremmano verliebt hat, bleibt diesen Hunden treu.....
Bei Fragen zu unseren Schützlingen, oder aber wenn Sie MASAI einen Platz als Familienmitglied auf einer Pflegestelle oder Endstelle anbieten möchten, dann melden Sie sich bitte bei: kontakt@sardinienhunde.org.
Update Juli 2023:
Keine guten Nachrichten gibt es von unserem Masai zu verkünden....
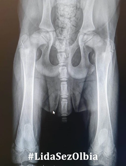
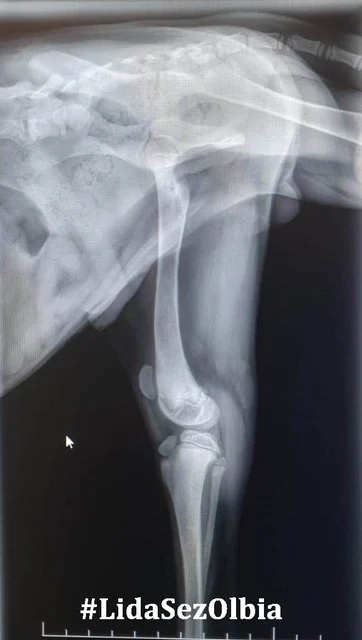
Bei Aufnahme im rifugio vor einigen Wochen kam Masai mit einem dicken Hinterbeinchen an. Erste Untersuchungen ließen eine alte Verletzung bzw. eine selbstlimitierende Panostitis vermuten. Schmerzmittel und Entzündungshemmer wurden gegeben.
Nach einer Phase der leichten Besserung kamen nun die Beschwerden zurück, aber mit voller Wucht – beide Hinterbeine von Masai versteiften sich durch eine anhaltende Muskelkontraktion.
Blut wurde abgenommen und die Ergebnisse bestätigten den Verdacht:
Neosporose (und Toxoplasmose) positiv.
Bei vielen Tieren verläuft diese Infektion ohne erkennbare Symptome und bei erwachsenen Hunden spielt die Erkrankung klinisch nahezu keine Rolle. Erkrankungen werden fast ausschließlich bei jungen Hunden beobachtet.
Die Neosporose der Junghunde ist gekennzeichnet durch progressive, aszendierende Paralyse und Parese der hinteren Extremitäten und ist auch als sogenanntes Neuromuskuläres Syndrom bekannt.
Es hilft hier nur, die betroffenen Extremitäten manuell zu bewegen. Ein sehr schmerzhaftes Prozedere für den Hund, weshalb Masai nun deshalb für die Anwendungen immer sediert wird.
Führen all diese Maßnahmen nicht zum Erfolg, so bleibt nur noch die Amputation der Hintergliedmaßen.
Somit ist Masai zum Notfall geworden – eine adäquate Betreuung im rifugio ist für ihn sehr schwierig und deshalb suchen wir ganz dringend Menschen, die Masai auf seinem Lebensweg liebevoll begleiten und unterstützen möchten.
Video Juli 2023:
Weitere Fotos:



Juli 2023